Skip to main content
An official website of the United States government
Government Funding Lapse
Because of a lapse in government funding, the information on this website may not be up to date, transactions submitted via the website may not be processed, and the agency may not be able to respond to inquiries until appropriations are enacted.

The NIH Clinical Center (the research hospital of NIH) is open. For more details about its operating status, please visit cc.nih.gov.

Updates regarding government operating status and resumption of normal operations can be found at opm.gov.

Email

NIH study provides genetic insights into osteosarcoma in children

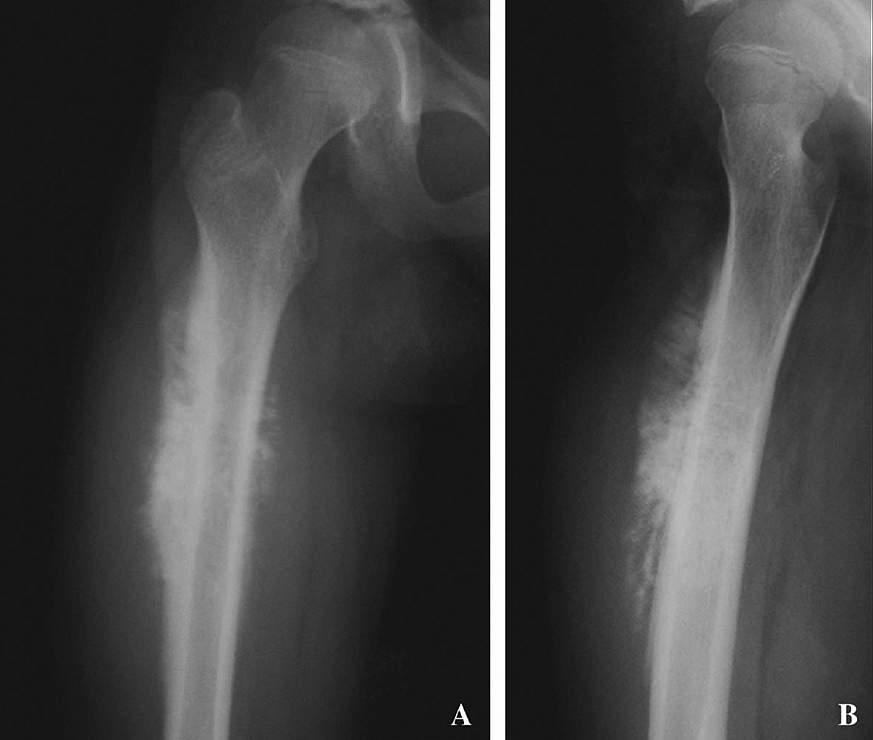
An x-ray of a femur from a patient with osteosarcoma

An x-ray of a femur (thigh bone) from a patient with osteosarcoma. Ups J Med Sci.

A study by researchers at the National Cancer Institute (NCI), part of the National Institutes of Health, offers new insight into genetic alterations associated with osteosarcoma, the most common cancerous bone tumor of children and adolescents. The researchers found that more people with osteosarcoma carry harmful, or likely harmful, variants in known cancer-susceptibility genes than people without osteosarcoma. This finding has implications for genetic testing of children with osteosarcoma, as well as their families. 

The study was published March 19, 2020, in JAMA Oncology.

“With this study, we wanted to find out how many people with osteosarcoma may have been at high risk for it because of their genetics,” said Lisa Mirabello, Ph.D., of NCI’s Division of Cancer Epidemiology and Genetics (DCEG), who led the research. “We not only learned that at least a quarter of the people in the study with osteosarcoma had a variant in a gene known to predispose someone to cancer, we also uncovered variants that had never before been associated with this cancer.”

Read more in the NCI Press Release.

 

Reference:

Mirabello L et al. Frequency of pathogenic germline variants in cancer-susceptibility genes in patients with osteosarcoma. JAMA Oncology. March 19, 2020. DOI: 10.1001/jamaoncol.2020.0197. [Epub before print].

< Older Post

HLA-DPB1 Variants May Increase Risk of Severe Aplastic Anemia, Study Finds

Newer Post >

Laura Beane Freeman elected Women Scientist Advisor

If you would like to reproduce some or all of this content, see Reuse of NCI Information for guidance about copyright and permissions. In the case of permitted digital reproduction, please credit the National Cancer Institute as the source and link to the original NCI product using the original product's title; e.g., “NIH study provides genetic insights into osteosarcoma in children was originally published by the National Cancer Institute.”

Email