Skip to main content
An official website of the United States government
Government Funding Lapse
Because of a lapse in government funding, the information on this website may not be up to date, transactions submitted via the website may not be processed, and the agency may not be able to respond to inquiries until appropriations are enacted.

The NIH Clinical Center (the research hospital of NIH) is open. For more details about its operating status, please visit cc.nih.gov.

Updates regarding government operating status and resumption of normal operations can be found at opm.gov.

Atypical Spitzoid Tumor Study

Information for Patients

Study at a Glance

Status
Active and enrolling new participants

Principal Investigators

ClinicalTrials.gov ID
NCT00040352

Sponsor
National Cancer Institute

Location
Clinical Center in Bethesda, Maryland

Contact
Contact the research team by phone at 800-518-8474 or by email at NCIFamilyStudyReferrals@nih.gov

About the study

We want to learn more about how genetic and environmental factors contribute to the development of atypical spitzoid tumors. Our results could improve prevention and treatment.

Atypical spitzoid tumors develop from cells in the skin called melanocytes, the same cell type that can transform into an aggressive type of skin cancer called melanoma. A subset of atypical spitzoid tumors in children and adolescents will behave aggressively like adult-type melanoma. 

Who is able to join 

  • Anyone with an atypical spitzoid/Spitz tumor or spitzoid/Spitz melanoma diagnosed before the age of 21
  • Biological parents of individuals with atypical spitzoid/Spitz tumor or melanoma
  • Read the full description of eligibility criteria on the Clinical Center website

What to expect

  • Complete one or two questionnaires about your personal and family medical history
  • Provide written consent for researchers to request medical records from other institutions
  • Provide consent for the study clinical team to request your atypical spitzoid tumor sample for expert pathology review and mutational analysis at the National Institutes of Health. This information will be shared with your clinical team to assist with diagnosis and treatment (all testing costs will be paid for by the study
  • Provide a saliva sample and possible blood sample to be used for genetic studies
  • In some cases, you may be asked to travel to the Clinical Center in Bethesda, Maryland (travel costs will typically be paid for by the National Institutes of Health)
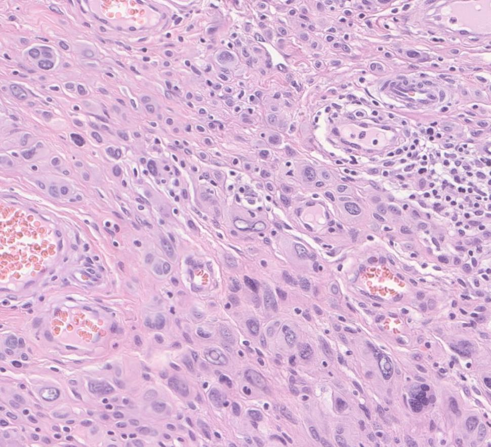
Photo of atypical spitzoid melanoma tissue under a microscope

Atypical spitzoid neoplasm

Test results

  • When the tests are finished, a doctor will discuss the results with you and the need, if any, for clinical follow-up.

Where to ask questions and begin enrollment


Information for Researchers

Clinical, Laboratory, and Epidemiologic Characterization of Individuals with Atypical Spitzoid Tumors

Study Details

Principal Investigators

ClinicalTrials.gov ID
NCT00040352

Background and Purpose

Investigators in DCEG are searching for novel inherited gene variants that contribute to the development of atypical spitzoid tumors in children, adolescents, and young adults. As part of this study, investigators will perform DNA and RNA sequencing of atypical spitzoid tumors to characterize the spectrum of mutations and gene fusions present in these skin growths. Tumor sequencing will be performed in a Clinical Laboratory Improvement Amendments of 1988 (CLIA) laboratory and results will be shared with healthcare providers to assist with diagnosis and treatment.

Email