Skip to main content
An official website of the United States government
Government Funding Lapse
Because of a lapse in government funding, the information on this website may not be up to date, transactions submitted via the website may not be processed, and the agency may not be able to respond to inquiries until appropriations are enacted.

The NIH Clinical Center (the research hospital of NIH) is open. For more details about its operating status, please visit cc.nih.gov.

Updates regarding government operating status and resumption of normal operations can be found at opm.gov.

Email

Increased Meningioma Risk Following Treatments for Childhood Cancer

, by Elise Tookmanian, Ph.D.

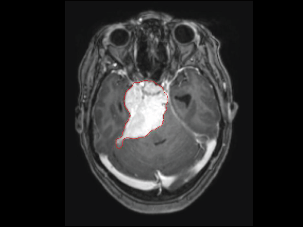
An MRI of a brain with meningioma. The meningioma is identified with a red outline.

In a study of childhood cancer survivors, researchers in the Radiation Epidemiology Branch (REB), observed that children who received radiotherapy had an increased risk of developing meningioma, cancer of the membranes that surround the brain and spinal cord (meninges). This study was published in JAMA Oncology on October 6, 2022.

To obtain a more precise characterization of the radiation dose-response, Lene H.S. Veiga, Ph.D., staff scientist in REB, and former REB fellow Diana R. Withrow, Ph.D., worked with a team of international collaborators to pool data from four case-control studies. In total, they evaluated data from 1101 childhood cancer survivors (273 cases and 738 controls), diagnosed between 1942 and 2000. Theirs is the largest study of meningioma risk among survivors of childhood cancer to date with individual estimates of radiation dose to the location of the subsequent meningioma. The researchers observed that risk of meningioma increased with increasing radiation dose, in agreement with past findings. Additionally, survivors who received radiation treatment before the age of ten had a higher risk compared to those treated at age ten and older. Significant meningioma risk persisted for more than thirty years after treatment. The researchers also evaluated the effects of receiving chemotherapy, finding that those who received methotrexate had a higher risk of developing meningioma. However, they did not observe a dose-response relationship for methotrexate.

These findings indicate the sensitivity of the meninges to radiation, especially for children younger than 10, and support recent efforts to decrease whole brain irradiation in children. Additionally, these results may inform the development of cancer screening guidelines for childhood cancer survivors.

Reference

Withrow, DR, et al. Pooled Analysis of Meningioma Risk Following Treatment for Childhood CancerJAMA Onc. 2022. 

< Older Post

Diptavo Dutta Appointed Earl Stadtman Tenure-track Investigator

Newer Post >

Stephen Chanock Recognized at Special Love Gala

If you would like to reproduce some or all of this content, see Reuse of NCI Information for guidance about copyright and permissions. In the case of permitted digital reproduction, please credit the National Cancer Institute as the source and link to the original NCI product using the original product's title; e.g., “Increased Meningioma Risk Following Treatments for Childhood Cancer was originally published by the National Cancer Institute.”

Email